
近日,西班牙萨拉曼卡大学医院整形外科和外伤科在临床医学杂志(JCM)上发布了一篇《自体间充质干细胞治疗股骨头坏死I/II期临床试验的长期结果》的临床研究报告,研究人员最终发现自体间充质干细胞移植治疗股骨头坏死的最终结果没有发生副作用,同时移植后VAS 和ODI评分均有所改善。

在放射学上,12.5%的患者在随访结束时有所改善,而50%的患者在临床上有所改善。并且在间充质干细胞治疗后的第一年内没有患者需要THR手术。表明自体间充质干细胞用于股骨头坏死病患者是可行的、长期安全的,并且可能有效。
什么是股骨头坏死(ONFH)
股骨头是髋关节的重要组成部分,它保证了人类下肢的灵活性。它处于血运末梢部位,一旦供血不足甚至中断,骨细胞就不能维持正常的新陈代谢,导致股骨头部位的骨质坏死。
绝大多数股骨头坏死不可逆转,如果不加以干预,80%的患者在48个月以内会造成关节面塌陷、变形、关节毁损、行走功能障碍且伴有明显的疼痛等后果,最终严重影响患者的生活质量。

据统计,我国的股骨头坏死患者大约在800万~1000万之间,并且这个数字每年还在上升。
股骨头坏死(ONFH)的特点是血管化受损,缺血导致骨细胞死亡,导致髋关节退化。在这种情况下,间充质干细胞/基质细胞 (MSC) 是一种有吸引力的潜在治疗方法。
间充质干细胞(MSCs)是一种定义明确的细胞类型,能够分化成骨细胞和软骨细胞,以及诱导抗炎和免疫调节反应,可用于许多临床环境,包括骨关节疾病。

西班牙萨拉曼卡大学医院整形外科和外伤科进行了一项前瞻性、开放标签、非随机、I/II期临床试验,通过自体MSCs治疗特发性股骨头坏死。
目 的:探讨自体骨髓MSCs移植ONFH的可行性、安全性和有效性
纳入标准:本次共有8名特发性ONFH且ARCO分类分期< IIC的男性患者参与研究,平均年龄为48.38±7.38岁。所有患者均接受镇痛干预,仅有2例(25%)患者维持日常工作活动,6名患者双髋骨坏死。
移植方法:将MSCs悬浮液混合在5-10 mL生理盐水和5%人白蛋白的溶液中,每位患者输注剂量为1* 106/kg,使用套管针在放射镜控制下进行骨内给药。
随 访:术后随访期为一年,通过视觉模拟疼痛量表(VAS)、Harris量表和双髋的影像学改变,来评估MSCs移植后患者的各项指标变化。此外,还对所有患者进行了为期8年的进一步随访,以评估是否需要进行长期全髋关节置换(THR)手术。
结果:
①安全性和可行性:在一年的随访期间,没有与细胞产品或手术相关的反应或并发症,并且所有病例都可以在GMP条件下进行细胞收集、离体扩增和细胞移植药物的进一步骨内给药。
②VAS评分变化:在移植前患者疼痛最小值为6,最大值为10(7.94±1.50)。移植后,这种主观疼痛感有所减轻,在某些情况下达到完全缓解。
③Harris评分变化:在“疼痛”部分,所有参与研究的患者都有改善,基线(16.25±11.87)和最终值(24.62±15.37),p = 0.017;在“功能”部分,患者的能力有所改善,初始值为17.62±9.00,在随访结束时达到22.25±10.19,p = 0.158;在“活动”中,患者活动能力增加趋势一直保持,从开始的平均值8.25±2.31到结束时的9.12±4.01,p = 0.500。


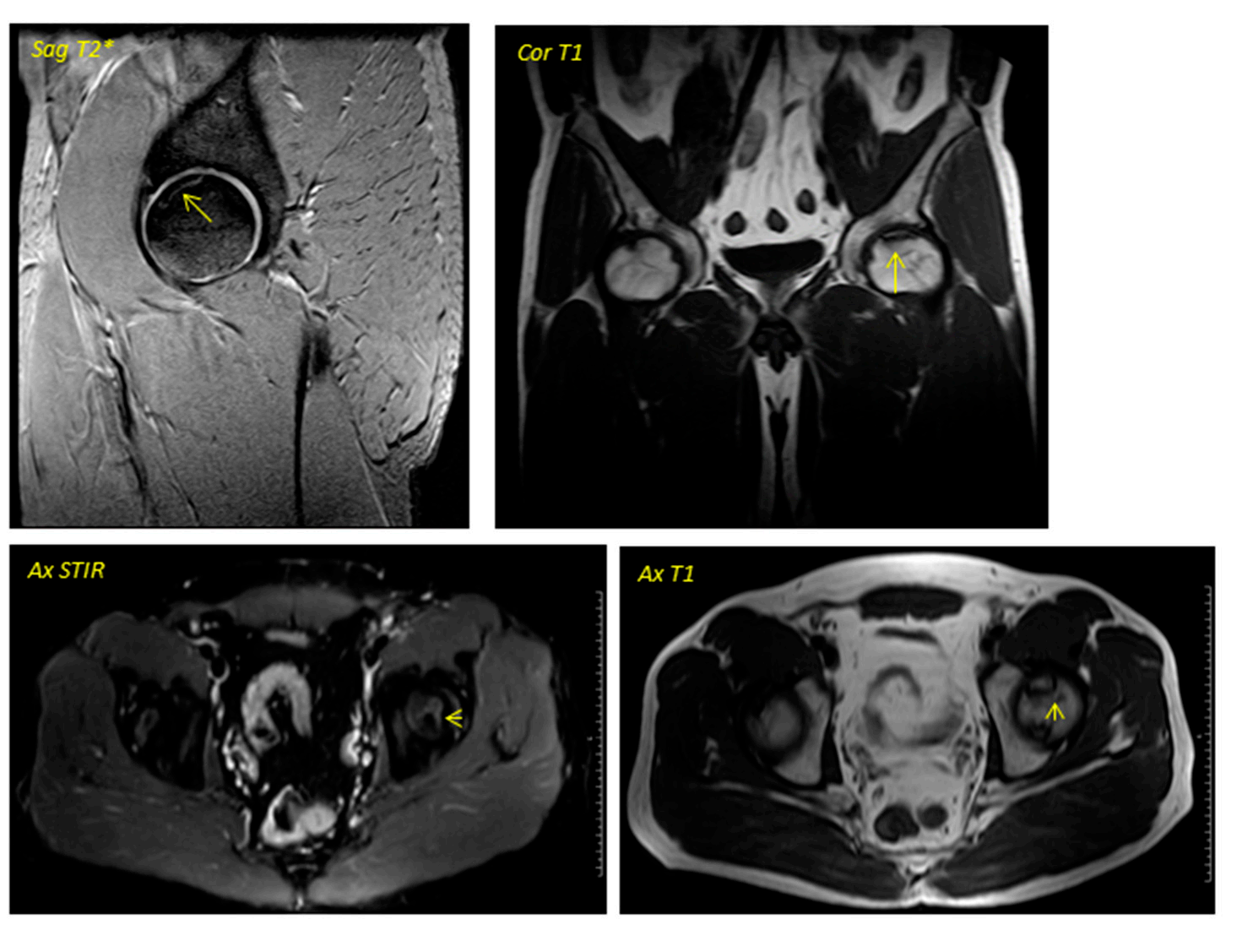
④影像学变化:在早期阶段变化并不明显,第6个月开始所有患者出现改变;62.5%的患者(n = 5)在手术后的一年内实现了影像学稳定(部分患者影像学图1、2)。

图1:对应于2013年12月执行的一名38岁男性术前图像

图2:图1中患者的术后磁共振成像2016年4月
⑤长期随访:经过8年的长期随访后,8名接受移植的患者中有4名(50%)需要进行THR手术,以更换经MSCs移植的股骨头,见下图。

总 结:目前的I-II期临床试验短期结果表明,自体MSCs移植ONFH是可行和安全有效的。但在长期随访中,有一半患者仍需要进行THR手术,未来需要研究者们在移植方法、移植次数等多个方面做进一步的研究,以造福更多患者。
参考资料:Blanco, J.F.; Garcia-Garcia, F.J.; Villarón, E.M.; da Casa, C.; Fidalgo, H.; López-Parra, M.; Santos, J.A.; Sánchez-Guijo, F. Long-Term Results of a Phase I/II Clinical Trial of Autologous Mesenchymal Stem Cell Therapy for Femoral Head Osteonecrosis. J. Clin. Med. 2023, 12, 2117. https://doi.org/10.3390/jcm12062117